A35 Cống Quỳnh, P. Cầu Ông Lãnh, TP.HCM
Chia sẻ

Mất răng chỉ còn chân răng: Nguyên nhân, hậu quả và cách xử lý hiệu quả
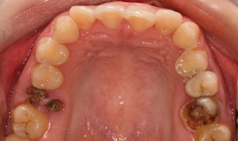
Mất răng chỉ còn chân răng là tình trạng thường gặp do sâu răng, chấn thương hoặc biến chứng nha khoa. Tìm hiểu nguyên nhân,…

Trồng Răng Giả: Tất Tần Tật Các Giải Pháp Giúp Khôi Phục Nụ Cười Tự Tin
Mất răng không chỉ ảnh hưởng đến ăn nhai mà còn khiến gương mặt biến dạng, mất tự tin. Khám phá các giải pháp trồng răng…

Mất răng vĩnh viễn: Nguyên nhân, hậu quả và giải pháp phục hồi hiệu quả
Mất răng vĩnh viễn gây ảnh hưởng lớn đến ăn nhai, thẩm mỹ và sức khỏe răng miệng. Tìm hiểu nguyên nhân, hậu quả và giải…

Mất răng hàm: Nguyên nhân, hậu quả và giải pháp khắc phục toàn diện
Mất răng hàm gây ảnh hưởng nghiêm trọng đến ăn nhai, tiêu hóa và thẩm mỹ. Tìm hiểu nguyên nhân, hậu quả và giải pháp phục…

Mất răng bao lâu thì bị tiêu xương hàm? Nguyên nhân, dấu hiệu và cách phòng ngừa hiệu quả
Mất răng bao lâu thì bị tiêu xương hàm? Tìm hiểu thời gian, nguyên nhân, dấu hiệu nhận biết và phương pháp ngăn ngừa tiêu xương…

Mất răng số 7 hàm dưới: Nguyên nhân, hậu quả & giải pháp phục hồi tối ưu
Răng số 7 là một trong những chiếc răng hàm lớn đóng vai trò chủ lực trong hoạt động nhai nghiền thức ăn. Khi mất răng…

Trồng Răng Giả Hàm Tháo Lắp: Giải Pháp Tiết Kiệm Cho Người Mất Răng
Trồng răng giả hàm tháo lắp là phương pháp phục hình truyền thống, quen thuộc với nhiều người cao tuổi và bệnh nhân có sức khỏe…

Mất răng toàn hàm: Nguyên nhân, hậu quả và giải pháp phục hình hiệu quả
Tìm hiểu nguyên nhân mất răng toàn hàm (mất răng nguyên hàm), tác động đến sức khỏe và tâm lý, cùng các giải pháp phục hình…

Bị mất răng cấm: Tác hại & Giải pháp phục hình an toàn
Răng cấm – hay còn gọi là răng số 6 – đóng vai trò then chốt trong việc nghiền nát thức ăn và duy trì cấu…

Mất Răng Lâu Năm Có Trồng Được Không? Giải Pháp Tối Ưu Cho Người Mất Răng
Mất răng lâu năm không phải là vấn đề không thể giải quyết. Với sự phát triển của công nghệ nha khoa hiện đại, việc trồng…
