A35 Cống Quỳnh, P. Cầu Ông Lãnh, TP.HCM
Chia sẻ

Nhổ Răng Bao Lâu Thì Trồng Răng Giả? Đừng Bỏ Lỡ “Thời Điểm Vàng”
Nhổ răng bao lâu thì trồng răng giả? Đây là thắc mắc mà hầu hết bệnh nhân đều đặt ra sau khi phải nhổ bỏ một…

Trồng Răng Giả Ở Đâu Tốt? 5 Tiêu Chí Vàng Giúp Bạn Không Chọn Sai Địa Chỉ
Trồng răng giả ở đâu tốt là băn khoăn của nhiều người khi muốn phục hình răng mất. Bài viết này sẽ chỉ ra 5 tiêu…
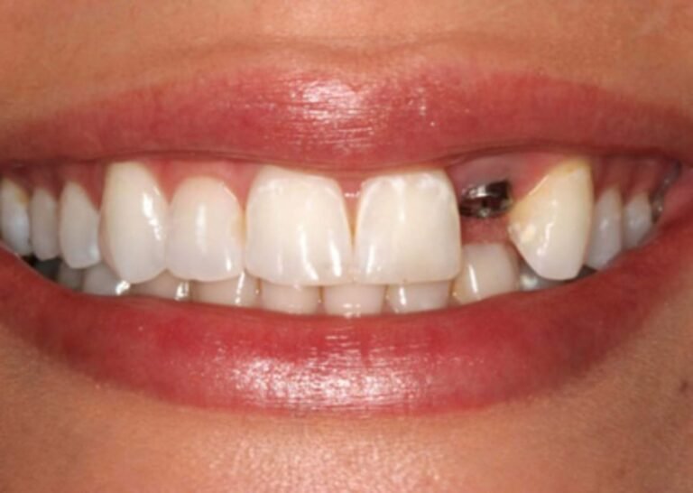
![Có nên trồng răng giả? [Giải đáp chi tiết từ chuyên gia nha khoa]](https://3cimplant.com/wp-content/uploads/2025/10/trong-rang-su-co-ben-khong-1-1.webp)
Có nên trồng răng giả? [Giải đáp chi tiết từ chuyên gia nha khoa]
Có nên trồng răng giả hay không là băn khoăn của nhiều người sau khi mất răng. Bài viết này sẽ phân tích lý do cần…
![Trồng răng giả có đau không? [Giải đáp từ A-Z bởi chuyên gia]](https://3cimplant.com/wp-content/uploads/2025/10/trong-rang-su-co-dau-khong.webp)
Trồng răng giả có đau không? [Giải đáp từ A-Z bởi chuyên gia]
Trồng răng giả có đau không là thắc mắc của nhiều người trước khi điều trị. Với công nghệ nha khoa hiện đại, cảm giác đau…

Trồng Răng Giả Nguyên Hàm: Tìm Lại Nụ Cười & Khả Năng Ăn Nhai Toàn Diện
Mất răng nguyên hàm khiến bạn khó ăn nhai, gương mặt lão hóa nhanh và mất tự tin nghiêm trọng. Khám phá các giải pháp trồng…

Tất tần tật về các phương pháp trồng răng giả phổ biến, hiệu quả nhất hiện nay
Trồng răng giả là giải pháp tối ưu giúp phục hồi răng mất, cải thiện ăn nhai và thẩm mỹ. Khám phá các phương pháp trồng…

Trồng răng giả vĩnh viễn là gì?
Trồng răng giả vĩnh viễn là phương pháp phục hình răng mất bằng kỹ thuật cố định, không cần tháo lắp như hàm giả truyền thống.…

Trồng Răng Giả Cố Định: Giải Pháp Phục Hồi Răng Mất Toàn Diện Nhất
Trồng răng giả cố định giúp phục hồi ăn nhai, thẩm mỹ tự nhiên và ngăn tiêu xương. Tìm hiểu ưu điểm, quy trình và chi…

Mất răng số 2: Nguyên nhân, hậu quả và giải pháp phục hình hiệu quả
Mất răng số 2 (răng cửa bên) là tình trạng nhiều người gặp phải, gây ảnh hưởng trực tiếp đến thẩm mỹ nụ cười và giao…

Mất răng số 5: Nguyên nhân, hậu quả và giải pháp phục hình hiệu quả
Mất răng số 5 không chỉ là một khiếm khuyết nhỏ trong hàm răng mà còn kéo theo nhiều hệ lụy về sức khỏe răng miệng…
