A35 Cống Quỳnh, P. Cầu Ông Lãnh, TP.HCM

T2 – T6: 08h30 – 19h30 (T4 nghỉ), T7: 08h00 – 19h30, CN: 08h00 – 17h00

trungtamniengrang3c@gmail.com

091 603 7766

Mất 4 Răng Liên Tiếp: Hậu Quả Khôn Lường và 3 Giải Pháp Phục Hồi Tốt Nhất Hiện Nay

Đăng bởi Nha khoa 3C | 23 Tháng 10, 2025 | Kiến thức nha khoa, Kiến thức trồng răng Implant
Mất 4 Răng Liên Tiếp: Hậu Quả Khôn Lường và 3 Giải Pháp Phục Hồi Tốt Nhất Hiện Nay

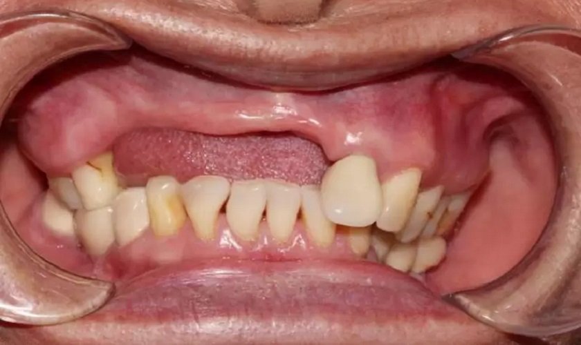
Mất 4 răng liên tiếp không chỉ ảnh hưởng đến thẩm mỹ mà còn là dấu hiệu cảnh báo sức khỏe răng miệng nghiêm trọng. Người bệnh dễ gặp khó khăn trong ăn nhai, phát âm và trở nên tự ti khi giao tiếp. Nghiêm trọng hơn, khoảng trống này có thể gây tiêu xương hàm, lão hóa sớm và xô lệch răng còn lại. Trong bài viết, chúng tôi sẽ chỉ ra nguyên nhân, hậu quả và 3 giải pháp phục hình hiệu quả nhất hiện nay để bạn nhanh chóng lấy lại nụ cười và sự tự tin.

Nguyên nhân phổ biến gây mất 4 răng liên tiếp

Mất cùng lúc 4 răng liền kề là tình trạng không hiếm gặp, thường xuất phát từ các bệnh lý răng miệng nghiêm trọng hoặc tác động ngoại lực. Việc xác định đúng nguyên nhân giúp bác sĩ đưa ra phác đồ điều trị và phục hình phù hợp, đồng thời giúp bạn chủ động phòng ngừa trong tương lai.

Mất 4 Răng Liên Tiếp: Hậu Quả Khôn Lường và 3 Giải Pháp Phục Hồi Tốt Nhất Hiện Nay

Bệnh lý nha chu nghiêm trọng

Viêm nha chu tiến triển là nguyên nhân hàng đầu khiến nhiều răng cùng lúc bị mất. Vi khuẩn tấn công nướu và xương ổ răng, làm phá hủy cấu trúc nâng đỡ răng. Khi nướu và xương yếu đi, răng lung lay, dễ rụng theo từng nhóm. Đây là lý do nhiều bệnh nhân mất 3–4 răng liền kề, đặc biệt ở nhóm răng hàm.

Sâu răng lan rộng không điều trị

Sâu răng nếu không được phát hiện và điều trị kịp thời có thể lan nhanh sang nhiều răng liền kề. Khi sâu ăn vào tủy, răng bị viêm, áp xe và buộc phải nhổ bỏ hàng loạt. Tình trạng này phổ biến ở những người chủ quan, chỉ đi khám khi răng đã đau nhức nặng, lúc đó việc bảo tồn răng gần như không còn khả thi.

Do tai nạn, chấn thương

Các va chạm mạnh do tai nạn giao thông, ngã, hoặc chơi thể thao cũng có thể khiến 4 răng liền nhau bị gãy hoặc bật ra khỏi cung hàm. Trong nhiều trường hợp, răng bị tổn thương quá nặng không thể phục hồi và bắt buộc phải nhổ bỏ để tránh biến chứng.

Do các bệnh lý toàn thân

Một số bệnh lý toàn thân như tiểu đường, loãng xương hoặc suy giảm miễn dịch làm răng dễ tổn thương và khó hồi phục. Các bệnh này ảnh hưởng đến sức khỏe nướu, xương ổ răng và khả năng lành thương, khiến nhiều răng có nguy cơ rụng cùng lúc.

Đừng chủ quan! Hậu quả nghiêm trọng khi mất 4 răng liên tiếp

Mất 4 răng liền kề không chỉ đơn thuần là khuyết thiếu thẩm mỹ, mà còn kéo theo nhiều hệ lụy lâu dài cho sức khỏe răng miệng và toàn cơ thể. Nếu không phục hình kịp thời, tình trạng này có thể gây ra những hậu quả sau:

Tiêu xương hàm trầm trọng và nhanh chóng

Xương ổ răng cần được kích thích bởi chân răng để duy trì mật độ và thể tích. Khi mất 4 răng cùng lúc, khoảng trống lớn khiến xương tiêu nhanh hơn nhiều lần so với mất một răng đơn lẻ. Lâu dần, nướu tụt xuống, làm khuôn mặt biến dạng và gây khó khăn cho việc trồng răng sau này.

Lão hóa khuôn mặt, má hóp, da chảy xệ

Tiêu xương hàm dẫn đến thay đổi cấu trúc nâng đỡ khuôn mặt. Người mất nhiều răng thường có biểu hiện má hóp, môi mỏng, da vùng miệng nhăn nheo, gương mặt già đi trước tuổi. Đây là hậu quả thường thấy ở bệnh nhân mất nhiều răng lâu năm mà không phục hình.

Suy giảm nghiêm trọng chức năng ăn nhai

Mất 4 răng liên tiếp khiến việc cắn, xé và nghiền nát thức ăn trở nên khó khăn. Người bệnh thường phải nhai lệch một bên, gây mất cân bằng khớp cắn. Dạ dày cũng phải làm việc nhiều hơn do thức ăn không được nghiền nhỏ, lâu dài dễ dẫn đến rối loạn tiêu hóa.

Ảnh hưởng đến các răng còn lại

Các răng kế cận khoảng trống có xu hướng nghiêng đổ, răng đối diện có thể trồi lên hoặc thòng xuống. Hậu quả là sai lệch khớp cắn, khó vệ sinh răng miệng, tăng nguy cơ sâu răng và viêm nha chu cho các răng còn lại.

Phát âm không chính xác, ngọng nghịu

Khi mất 4 răng cửa, khả năng phát âm bị ảnh hưởng rõ rệt. Người bệnh dễ phát âm sai các âm bật hơi, âm gió, gây ngọng, ảnh hưởng trực tiếp đến giao tiếp và công việc.

Mất tự tin nghiêm trọng trong giao tiếp

Khoảng trống lớn khi cười hoặc nói khiến nhiều người ngại giao tiếp, tự ti trước đám đông. Điều này không chỉ ảnh hưởng đến tâm lý mà còn tác động tiêu cực đến công việc và các mối quan hệ xã hội.

Mất 4 Răng Liên Tiếp: Hậu Quả Khôn Lường và 3 Giải Pháp Phục Hồi Tốt Nhất Hiện Nay

Tổng hợp các giải pháp phục hình khi mất 4 răng liên tiếp

Mất 4 răng liền kề là tình trạng phức tạp, nhưng hiện nay nha khoa hiện đại đã có nhiều giải pháp phục hình hiệu quả. Mỗi phương pháp có ưu và nhược điểm riêng, phù hợp với từng nhu cầu và điều kiện tài chính của khách hàng.

Giải pháp 1: Hàm giả tháo lắp

Hàm tháo lắp được chế tác bằng nhựa hoặc kết hợp khung kim loại, thay thế cho nhóm răng đã mất.

  • Ưu điểm: Chi phí thấp nhất trong các phương pháp, thời gian thực hiện nhanh, dễ tháo lắp và vệ sinh.
  • Nhược điểm: Khả năng ăn nhai chỉ đạt khoảng 30–40% răng thật, dễ lỏng lẻo, vướng víu khi sử dụng, tính thẩm mỹ hạn chế và không ngăn chặn được tình trạng tiêu xương hàm. Tuổi thọ không cao, cần thay thế định kỳ.Mất 4 Răng Liên Tiếp: Hậu Quả Khôn Lường và 3 Giải Pháp Phục Hồi Tốt Nhất Hiện Nay

Đây chỉ nên xem là giải pháp tạm thời, không được khuyến khích cho trường hợp mất nhiều răng.

Giải pháp 2: Cầu răng sứ

Cầu răng sứ là một dải gồm nhiều mão sứ liên kết với nhau, trong đó 2 răng thật ở hai đầu sẽ được mài nhỏ để làm trụ, nâng đỡ cho dải cầu thay thế 4 răng mất.

  • Ưu điểm: Chi phí hợp lý hơn Implant, tính thẩm mỹ khá cao, cố định chắc chắn trong miệng, ăn nhai tốt hơn hàm tháo lắp.
  • Nhược điểm: Phải mài 2 răng khỏe mạnh kế cận, làm giảm tuổi thọ của răng thật. Không ngăn được tiêu xương tại vùng mất răng, dễ gây hôi miệng nếu vệ sinh không kỹ. Sau một thời gian, trụ cầu yếu đi có thể phải phục hình lại.Mất 4 Răng Liên Tiếp: Hậu Quả Khôn Lường và 3 Giải Pháp Phục Hồi Tốt Nhất Hiện Nay

Giải pháp 3: Trồng răng Implant – Giải pháp tối ưu nhất

Đây là phương pháp hiện đại và được khuyến nghị nhiều nhất khi mất 4 răng liên tiếp. Thay vì cắm 4 trụ Implant cho 4 răng, bác sĩ thường chỉ cần đặt 2–3 trụ Implant, sau đó phục hình một cầu răng sứ 4 răng cố định lên trên.

  • Ưu điểm:
    • Phục hồi chức năng ăn nhai gần như răng thật (trên 95%).
    • Ngăn chặn hoàn toàn tình trạng tiêu xương hàm.
    • Không cần mài răng kế cận, bảo tồn răng thật tối đa.
    • Thẩm mỹ cao, răng Implant trông tự nhiên như răng thật.
    • Tuổi thọ lâu dài, có thể vĩnh viễn nếu chăm sóc tốt.
  • Nhược điểm: Chi phí ban đầu cao hơn các phương pháp khác và yêu cầu bác sĩ có tay nghề cao.

Mất 4 Răng Liên Tiếp: Hậu Quả Khôn Lường và 3 Giải Pháp Phục Hồi Tốt Nhất Hiện Nay

Tiêu chí lựa chọn phương pháp phục hình mất 4 răng liên tiếp

Việc lựa chọn phương pháp phục hình khi mất 4 răng liên tiếp không thể áp dụng chung cho tất cả mọi người. Bác sĩ sẽ dựa vào nhiều tiêu chí khác nhau để đưa ra giải pháp tối ưu, vừa đảm bảo chức năng ăn nhai, vừa đáp ứng nhu cầu thẩm mỹ và điều kiện tài chính của khách hàng.

Chất lượng ăn nhai

Khả năng ăn nhai là tiêu chí hàng đầu cần xem xét khi chọn phương pháp phục hình. Hàm giả tháo lắp chỉ mang lại sức nhai khoảng 30–40% so với răng thật, cầu răng sứ đạt khoảng 60–70%, trong khi Implant phục hồi đến trên 95%. Với những người cần ăn nhai chắc khỏe, đặc biệt là nhóm răng hàm, Implant là lựa chọn ưu tiên.

Giá cả

Chi phí phục hình cũng là yếu tố quan trọng quyết định lựa chọn phương pháp. Hàm tháo lắp có chi phí thấp nhất nhưng hạn chế về độ bền và tính thẩm mỹ. Cầu răng sứ có mức giá trung bình, cân đối giữa chi phí và hiệu quả. Implant có chi phí cao nhất, nhưng nếu tính về lâu dài, đây lại là phương pháp kinh tế vì tuổi thọ rất cao, thậm chí có thể sử dụng trọn đời nếu chăm sóc tốt.

Vị trí mất răng

Vị trí mất răng ảnh hưởng trực tiếp đến việc lựa chọn phương pháp phục hình. Nếu mất 4 răng cửa, tính thẩm mỹ được đặt lên hàng đầu, Implant thường là lựa chọn tối ưu. Nếu mất 4 răng hàm, yếu tố ăn nhai quan trọng hơn, cầu răng sứ hoặc Implant sẽ được cân nhắc. Trong khi đó, hàm tháo lắp có thể áp dụng cho người lớn tuổi, sức khỏe xương hàm yếu, chưa đủ điều kiện thực hiện Implant.

Nha khoa 3C – Địa chỉ trồng răng uy tín và an toàn

Khi phục hình nhiều răng cùng lúc, đặc biệt là trường hợp mất 4 răng liên tiếp, việc lựa chọn nha khoa uy tín là yếu tố then chốt quyết định thành công. Tại Nha khoa 3C, chúng tôi tự hào mang đến giải pháp toàn diện, kết hợp chuyên môn – công nghệ – dịch vụ để đem lại kết quả tối ưu cho khách hàng.

  • Đội ngũ bác sĩ chuyên môn cao: Bác sĩ tại Nha khoa 3C có nhiều năm kinh nghiệm trong cấy ghép Implant và phục hình răng sứ thẩm mỹ, thường xuyên tham gia các khóa đào tạo trong và ngoài nước.
  • Công nghệ hiện đại: Ứng dụng máy chụp CT Cone Beam 3D, phần mềm cấy ghép giả định và công nghệ scan dấu răng kỹ thuật số, giúp chẩn đoán chính xác và thiết kế nụ cười phù hợp với từng khách hàng.
  • Vật liệu chính hãng: Tất cả trụ Implant và mão sứ đều nhập khẩu trực tiếp từ Mỹ, Đức, Hàn Quốc, có chứng nhận chất lượng và chế độ bảo hành minh bạch.
  • Quy trình chuẩn Y khoa: Mọi ca phẫu thuật Implant đều được thực hiện trong phòng vô trùng tuyệt đối, đảm bảo an toàn và hạn chế tối đa biến chứng.
  • Khách hàng hài lòng: Hàng ngàn ca phục hình thành công đã khẳng định uy tín và chất lượng dịch vụ của Nha khoa 3C.

Với sự kết hợp giữa tay nghề – công nghệ – dịch vụ, Nha khoa 3C chính là lựa chọn đáng tin cậy để bạn phục hồi 4 răng liên tiếp an toàn, bền chắc và thẩm mỹ tự nhiên.

Mất 4 Răng Liên Tiếp: Hậu Quả Khôn Lường và 3 Giải Pháp Phục Hồi Tốt Nhất Hiện Nay

Câu hỏi thường gặp (FAQ)

Khi mất 4 răng liên tiếp, khách hàng thường có nhiều thắc mắc về số lượng trụ Implant, mức độ đau, cũng như thời gian điều trị. Dưới đây là những câu hỏi phổ biến mà bác sĩ Nha khoa 3C thường gặp và giải đáp:

Mất 4 răng liên tiếp thì nên cắm mấy trụ Implant?

Không phải lúc nào cũng cần cắm đủ 4 trụ Implant. Thông thường, bác sĩ sẽ chỉ định từ 2–3 trụ tùy vị trí răng mất và tình trạng xương hàm. Sau đó, một cầu sứ 4 răng sẽ được gắn cố định lên trên các trụ này. Cách làm này giúp tiết kiệm chi phí mà vẫn đảm bảo khả năng ăn nhai và tính thẩm mỹ.

Trồng răng Implant cho 4 răng mất có đau không?

Trong quá trình cấy Implant, khách hàng hoàn toàn không cảm thấy đau nhờ thuốc tê hiện đại. Sau khi hết thuốc tê, có thể xuất hiện cảm giác ê nhức nhẹ trong vài ngày đầu. Tuy nhiên, tình trạng này hoàn toàn nằm trong kiểm soát nhờ thuốc giảm đau và hướng dẫn chăm sóc của bác sĩ. So với hiệu quả lâu dài, sự khó chịu này là rất nhỏ và tạm thời.

Thời gian trồng 4 răng Implant mất bao lâu?

Thời gian điều trị Implant thường chia thành 2 giai đoạn:

  • Giai đoạn 1: Cấy trụ Implant (15–30 phút/trụ).
  • Giai đoạn 2: Sau 3–6 tháng, khi trụ tích hợp chắc chắn với xương hàm, bác sĩ sẽ gắn mão sứ hoàn chỉnh.

Tổng thời gian có thể rút ngắn hơn nếu xương hàm tốt và khách hàng đáp ứng điều kiện sức khỏe. Với công nghệ hiện đại, một số trường hợp còn có thể phục hình răng tạm ngay sau khi cấy trụ.

Mất 4 răng liên tiếp là tình trạng nguy hiểm, không chỉ làm suy giảm chức năng ăn nhai mà còn đẩy nhanh quá trình tiêu xương, lão hóa khuôn mặt và ảnh hưởng nặng nề đến chất lượng cuộc sống. Việc phục hình sớm là giải pháp bắt buộc để bảo vệ sức khỏe răng miệng lâu dài.

Trong các lựa chọn hiện nay, trồng răng Implant được đánh giá là phương pháp toàn diện và tối ưu nhất, giúp phục hồi gần như hoàn hảo chức năng, thẩm mỹ và độ bền chắc.

Mất 4 Răng Liên Tiếp: Hậu Quả Khôn Lường và 3 Giải Pháp Phục Hồi Tốt Nhất Hiện Nay

Đừng để tình trạng mất răng tiếp tục ảnh hưởng đến sức khỏe và sự tự tin của bạn. Hãy liên hệ ngay với Nha khoa 3C để được thăm khám, chẩn đoán và tư vấn giải pháp phục hình phù hợp nhất – hoàn toàn miễn phí.

 

Đặt lịch hẹn Bác sĩ tư vấn

Với việc gửi form đăng ký, bạn đồng ý với các điều khoản và điều kiện của chúng tôi.

Đặt lịch hẹn Bác sĩ tư vấn

Với việc gửi form đăng ký, bạn đồng ý với các điều khoản và điều kiện của chúng tôi.